Boxerbreuk Behandeling Herstel en Tips

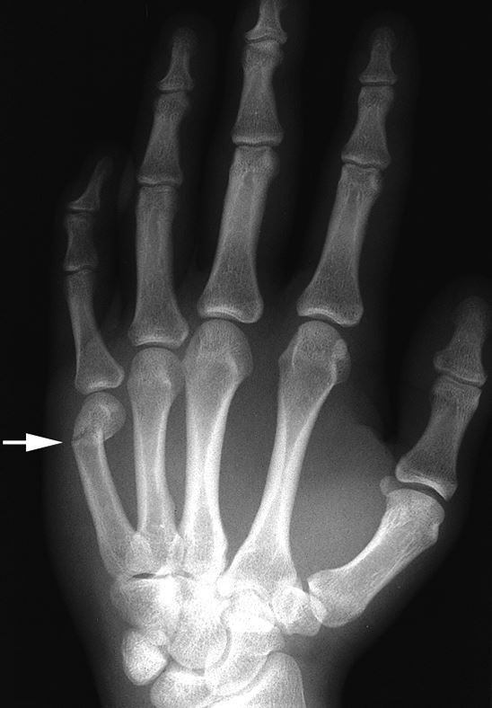
Een gebroken hand is nooit leuk, maar een boxerbreuk kan extra vervelend zijn. Wat is een boxerbreuk precies, en hoe ziet de behandeling eruit? Een boxerbreuk, ook wel metacarpale fractuur genoemd, is een breuk in één van de middenhandsbeentjes, de botjes die je vingers met je pols verbinden. De breuk treedt meestal op in het vijfde middenhandsbeentje, het botje van de pink, en ontstaat vaak door een klap met de vuist op een hard oppervlak. De pijn is direct voelbaar en de hand kan opzwellen.
De behandeling van een boxerbreuk varieert afhankelijk van de ernst van de breuk. Een eenvoudige fractuur kan genezen met een spalk of gips, terwijl een complexe breuk een operatie vereist. Het is essentieel om een arts te raadplegen voor de juiste diagnose en behandelplan. Een snelle en adequate behandeling van een boxerbreuk is cruciaal voor een optimaal herstel en het voorkomen van complicaties zoals stijfheid en chronische pijn.
Historisch gezien kreeg deze fractuur de naam "boxerbreuk" omdat deze vaak voorkwam bij boksers. Tegenwoordig komt de blessure echter voor bij allerlei mensen, van sporters tot mensen die per ongeluk hun vuist stoten. Ongeacht de oorzaak, is een juiste behandeling van een boxerbreuk belangrijk om de functionaliteit van de hand te herstellen.
De diagnose van een boxerbreuk gebeurt meestal door middel van een lichamelijk onderzoek en röntgenfoto's. De arts zal de hand onderzoeken op zwelling, pijn en bewegingsbeperking. Röntgenfoto's helpen om de locatie en de ernst van de breuk te bepalen. Soms is een CT-scan nodig voor een gedetailleerder beeld.
Verschillende behandelingsopties zijn beschikbaar voor een boxerbreuk, variërend van conservatieve behandelingen tot chirurgische ingrepen. De keuze voor de juiste therapie voor een boxerbreuk hangt af van factoren zoals de ernst van de breuk, de locatie van de breuk en de algehele gezondheid van de patiënt. Een arts zal de beste behandelstrategie bepalen na een grondige evaluatie van de blessure.
Conservatieve behandeling omvat meestal immobilisatie van de hand met een spalk of gipsverband. Dit helpt de botten op hun plaats te houden tijdens het genezingsproces. Pijnstillers kunnen worden voorgeschreven om de pijn en zwelling te verminderen. Fysiotherapie kan nodig zijn om de handfunctie te herstellen na het verwijderen van het gips.
Bij een complexe fractuur kan een operatie noodzakelijk zijn. Tijdens de operatie worden de botfragmenten weer op hun plaats gezet en vastgezet met pinnen, platen of schroeven. Na de operatie wordt de hand geïmmobiliseerd met een gipsverband. Fysiotherapie is essentieel voor het herstel van de handfunctie.
Voor- en Nadelen van Behandeling
Er zijn verschillende voor- en nadelen verbonden aan de behandeling van een boxerbreuk. Deze worden hieronder weergegeven:
Voordelen: Herstel van handfunctie, pijnverlichting, voorkomen van complicaties.
Nadelen: Tijdelijke immobilisatie, mogelijke complicaties bij chirurgie, herstelperiode.
Veelgestelde Vragen:
1. Hoe lang duurt het herstel van een boxerbreuk? Antwoord: Dit varieert, maar meestal 4-6 weken.
2. Kan ik mijn hand gebruiken na de behandeling? Antwoord: Bevolg de instructies van je arts.
3. Wat zijn de tekenen van een infectie? Antwoord: Roodheid, zwelling, pus, koorts.
4. Wanneer kan ik weer sporten? Antwoord: Raadpleeg je arts.
5. Is fysiotherapie nodig? Antwoord: Vaak wel, voor optimaal herstel.
6. Wat zijn de kosten van de behandeling? Antwoord: Afhankelijk van de behandeling en verzekering.
7. Kan ik autorijden met een gips? Antwoord: Overleg met je arts.
8. Wat moet ik doen bij aanhoudende pijn? Antwoord: Neem contact op met je arts.
Tips en Trucs:
Volg de instructies van je arts nauwkeurig op. Houd de hand hoog om zwelling te verminderen. IJs de hand regelmatig.
Een boxerbreuk kan een pijnlijke en ongemakkelijke blessure zijn. Echter, met de juiste behandeling en zorg is een volledig herstel mogelijk. Het is cruciaal om een arts te raadplegen voor een accurate diagnose en behandelplan. Vroege interventie en het volgen van de aanbevelingen van de arts bevorderen een sneller en completer herstel. Verwaarloos de blessure niet, want een onbehandelde boxerbreuk kan leiden tot complicaties zoals chronische pijn en stijfheid. Investeer in je gezondheid en zoek professionele hulp voor een optimale behandeling van een boxerbreuk. Je hand is een belangrijk instrument in je dagelijks leven, dus zorg ervoor dat je de juiste stappen neemt om het volledig te herstellen.
Ontdek de toy poedel alles over dit kleine ras
Boek de rest van ons een complete gids
Super why pbs kids youtube leesplezier voor kinderen











